

Images courtesy of the Bioclear Learning Center
What If You Could Strengthen and Reshape Your Teeth Without Cutting Them Down?
Many patients are told they need crowns or veneers to repair chipped teeth, close gaps, fix worn edges, or eliminate dark spaces near the gums.
In many cases, those treatments are appropriate.
But in some situations, there is a more conservative option.
At Pleasant Valley Cosmetic & Laser Dental, Dr. Christensen offers Bioclear®, an advanced restorative technique designed to preserve more of your natural tooth while restoring strength, function, and appearance.

What Is Bioclear?
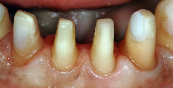
Bioclear is a modern restorative method that reinforces teeth by wrapping them with high-strength composite material using clear anatomical forms.
Images courtesy of the Bioclear Learning Center
Instead of shaving a tooth down for porcelain, Bioclear often allows us to:
- Close small gaps
- Eliminate black triangles
- Repair chipped or worn edges
- Improve symmetry
Strengthen structurally compromised areas
All while preserving significantly more healthy enamel.
Once enamel is removed, it does not grow back. Preservation matters.
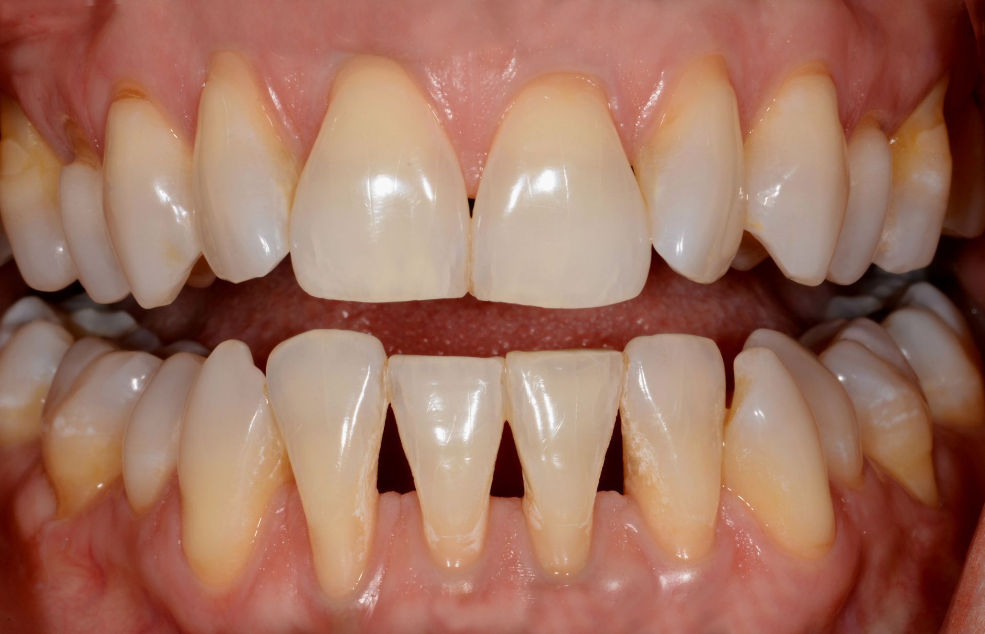
What Makes Bioclear Different From Traditional Bonding?
Bioclear is not standard bonding.
Traditional bonding typically fills small areas of a tooth and often leaves visible margins at the gumline.
Bioclear uses heated composite injected with compression around the tooth, creating smooth, continuous contours that:
- Improve structural support
- Reduce micro-gaps and internal voids
- Distribute bite forces more evenly
- Minimize plaque-retentive edges
- Support healthier gum tissue
Images courtesy of the Bioclear Learning Center
The result is not just cosmetic improvement. It is structural reinforcement with a biologically thoughtful design.
This technique is precision-driven and requires advanced training. That is why it is not widely offered.
Clinical Benefits of Bioclear
When clinically appropriate, Bioclear offers meaningful advantages.
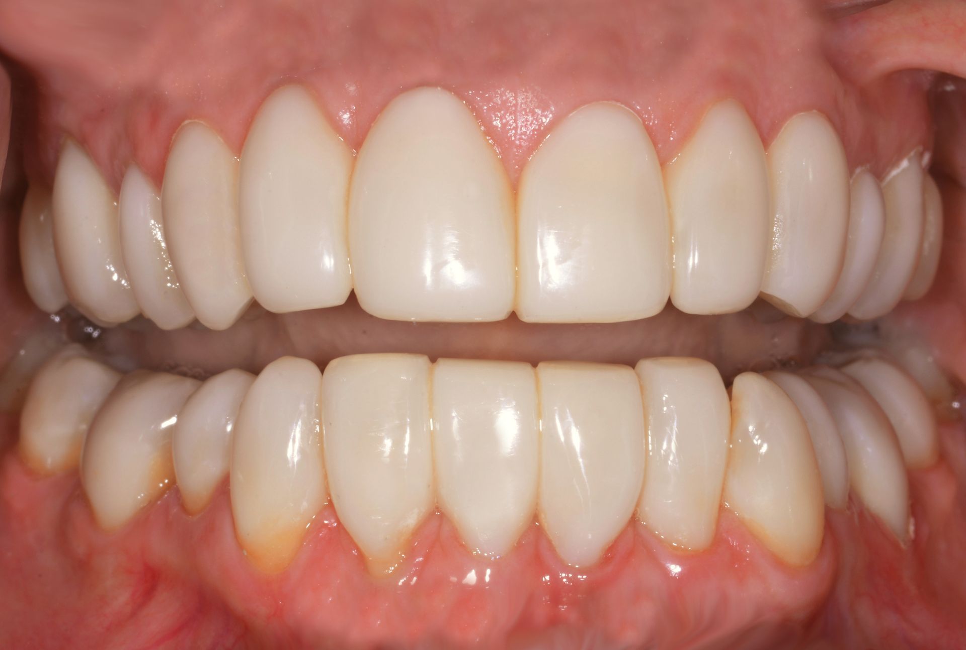
1. Superior Contours That Support Gum Health
Black triangles and rough margins are not only aesthetic concerns. They trap plaque and can contribute to inflammation.
Bioclear restorations extend slightly below the gumline and are shaped to create ideal emergence profiles. This helps:
- Close plaque-retentive spaces
- Improve tissue adaptation
- Support healthier long-term gum response
Healthy gums are foundational to every successful dental outcome.
2. Compression Injection Strength
The composite used in Bioclear is heated and injected under compression. This improves adaptation to the tooth structure.
Better adaptation can mean:
- Fewer microscopic gaps
- Reduced marginal breakdown
- Improved long-term durability
No restoration lasts forever, but technique and adaptation matter.
3. Preservation of Natural Enamel
Enamel is the strongest structure in the human body.
Crowns and veneers require permanent enamel removal. Bioclear often allows us to conserve more natural structure.
Preserving enamel:
- Maintains inherent strength
- Reduces structural weakening
- Preserves future treatment options
- Supports long-term tooth stability
Conservative dentistry today can create more flexibility decades from now.
4. A Lower-Cost Alternative to Porcelain
Porcelain crowns and veneers require laboratory fabrication and multiple appointments.
Bioclear is completed directly in the office and is often a lower-cost alternative when appropriate.
It is important to note that Bioclear is considered an elective restorative procedure and is not covered by dental insurance. We provide clear written estimates before treatment begins.
5. Bonding Performs Best on Natural Enamel
Bonding materials adhere more predictably and more strongly to enamel than to dentin. Enamel is the hard outer layer of the tooth, while dentin is the softer inner structure that becomes exposed when a tooth is heavily prepared for a crown or veneer.
When more enamel is preserved, bonding has a stronger foundation.
Because Bioclear often requires minimal tooth reduction, more natural enamel can remain available for bonding. This can support:
- Stronger adhesive attachment
- Improved long-term stability
- Reduced risk of marginal breakdown
Crowns and veneers are still essential when full structural protection is needed. However, when preservation is possible, maintaining enamel provides a meaningful long-term advantage.
Bioclear Compared to Crowns and Veneers
Treatment
Crown
Tooth Reduction
Significant

Primary Clinical Goal
Protect and reinforce a severely compromised tooth by fully covering it
Typical Use Case
Severe fracture, root canal tooth, or major structural compromise
Veneer
Moderate

Improve aesthetics and reshape the visible surface of the tooth
Cosmetic reshaping when enamel removal is acceptable
Bioclear
Minimal

Preserve natural tooth structure while strengthening and reshaping the tooth
Gaps, black triangles, chipped edges, or moderate structural concerns
Images courtesy of the Bioclear Learning Center
Crowns and veneers remain essential tools. We recommend them when structural demands require full coverage.
Bioclear is offered when preservation can achieve strength without compromise.
Who Is a Good Candidate?
You may be a candidate if you have:
- Small gaps between teeth
- Black triangles near the gumline
- Chipped or worn edges
- Failing composite or metal fillings
- Teeth recommended for crowns that still have healthy underlying structure
Images courtesy of the Bioclear Learning Center
Bioclear may not be appropriate for:
- Severely fractured teeth
- Teeth with major structural loss
- Cases requiring full-coverage protection
- Uncontrolled gum disease
Responsible dentistry means selecting the right treatment for the right condition.
Our Standard for Recommending Bioclear
At Pleasant Valley Cosmetic & Laser Dental, every recommendation must pass two questions:
If this were my mother, what would I recommend?
Would I want this in my own mouth?
If Bioclear supports long-term strength and prevention, we will recommend it.
If another treatment offers better long-term protection, we will say so clearly.
Trust is built on transparency, not trends.
Frequently Asked Questions About Bioclear
Is Bioclear the same as traditional dental bonding?
No. While both use tooth-colored composite material, Bioclear is a more advanced and technique-sensitive method. Traditional bonding typically fills small areas of a tooth. Bioclear uses heated composite injected with compression to wrap and reinforce the tooth, creating smoother contours, improved structural support, and healthier gum adaptation.
Is Bioclear better than veneers or crowns?
It depends on the condition of the tooth.
Crowns and veneers remain excellent options when significant structural support or porcelain aesthetics are required. Bioclear is ideal when preservation of natural enamel is possible without compromising strength. During your evaluation, Dr. Christensen will explain which option supports your long-term oral health.
How long does Bioclear last?
Longevity depends on bite forces, oral hygiene, and individual risk factors. When properly placed and maintained, Bioclear restorations can perform well for many years. No dental restoration lasts forever, which is why proper case selection and preventive maintenance are essential.
Can Bioclear close black triangles between teeth?
Yes. Bioclear is one of the most effective conservative treatments for closing black triangles. By reshaping the emergence profile slightly below the gumline, it can eliminate dark spaces while supporting healthier gum tissue.
Is Bioclear a minimally invasive alternative to veneers?
In many cases, yes. Bioclear often requires little to no aggressive enamel removal compared to veneers. However, not every cosmetic concern can be treated conservatively. A comprehensive evaluation determines candidacy.
Does Bioclear hurt?
Most patients experience minimal discomfort. Because the procedure is conservative, it often involves less removal of tooth structure compared to crown preparation.
Is Bioclear covered by dental insurance?
No. Bioclear is considered an elective restorative procedure and is not covered by dental insurance. We provide clear written estimates before treatment so you can make an informed decision.
Who is a good candidate for Bioclear in South Ogden?
Patients in South Ogden and the surrounding Weber County area who have small gaps, black triangles, chipped edges, worn teeth, or teeth recommended for crowns that still have healthy underlying structure may be candidates. A comprehensive exam is required to determine suitability.
Dr. Christensen is proud to offer Bioclear restorative treatment for patients in South Ogden and the surrounding Weber County area who are seeking a conservative alternative to crowns and veneers.
If you have been told you need crowns or are looking to enhance your smile with a more conservative option, we invite you to schedule a comprehensive evaluation.
You deserve to understand all appropriate solutions before making a permanent decision about your teeth.
No pressure. Just clarity and clinical excellence.








